Vaksin
Minggu, 01 Juni 2025
Vaksin Rabies di Indonesia, Ketahui Faktanya!
Rabies adalah penyakit virus yang hampir selalu berakibat fatal jika tidak segera…
Baca SelengkapnyaRabu, 30 April 2025
Vaksin DBD untuk Anak : Lindungi Masa Depannya
Vaksin DBD untuk anak - Musim hujan datang, nyamuk Aedes aegypti pun…
Baca SelengkapnyaRabu, 30 April 2025
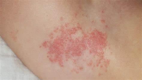
Vaksin Cacar Api: Perlindungan Nyata untuk Orang Tua…
Seiring bertambahnya usia, kesehatan menjadi aset paling berharga. Banyak orang tua di…
Baca SelengkapnyaRabu, 30 April 2025
Vaksin MMR Premarital: Perlindungan Masa Depan Keluarga Anda
Pernikahan bukan hanya tentang mengikat janji suci di altar atau pesta resepsi…
Baca SelengkapnyaRabu, 30 April 2025
Vaksin Hepatitis B Pranikah: Investasi Kesehatan Seumur Hidup
Saat merencanakan pernikahan, banyak pasangan fokus pada persiapan pesta, gaun pengantin, hingga…
Baca SelengkapnyaRabu, 30 April 2025
Vaksin Rabies: Perlindungan Terbaik dari Penyakit Mematikan
Rabies adalah salah satu penyakit paling mematikan yang dikenal manusia. Disebabkan oleh…
Baca Selengkapnya






